1 診療科紹介
食道・胃・大腸の癌や腫瘍性病変の外科的手術、特に腹腔鏡下手術を推進しています。肝胆膵の悪性疾患の手術、胆石、胆嚢炎の腹腔鏡下手術を行っています。また、急性腹症、とくに消化管穿孔、イレウス、急性虫垂炎などについて的確な診断と迅速な手術を行っています。ガイドラインに準拠した治療を行い、手術の質の向上、術中、術後の合併症の軽減に努め、術後のQOLの向上を目指しています。北多摩北部医療圏で唯一の国のがん診療地域連携病院に指定されています。
2 取り扱う主な疾患
食道、胃、大腸の癌、胃GIST(間質性胃粘膜下腫瘍)、穿孔性胃・十二指腸潰瘍、大腸憩室炎(出血、穿孔)、急性虫垂炎、ヘルニア、肝臓、胆道、膵臓の癌、胆石症、急性胆のう炎、イレウスなど
<トピックス>
【CTによる仮想大腸内視鏡検査(CTC;CT colonography)】
健診などで便潜血陽性といわれた方を対象に、大腸内視鏡に代わる検査法としてCTC(CTコロノグラフィー;仮想大腸内視鏡)があります。専用の食事と下剤を服用し、肛門より炭酸ガスを注入してCT検査を行います。検査時間は15分程度で、注入した炭酸ガスは直ちに腸管から吸収されますのでお腹の張りは比較的楽です。検査後は、CTのデータからコンピューター処理し、3次元画像や内視鏡像を構成し、病変の有無を診断します。病変が見つかった場合は、改めて大腸内視鏡による診断、治療を行います。詳しくは、当院外科外来、消化器内科外来にお問い合わせください。
3 診療時間と予約について
【受付時間】:午前8時30分~午前11時
【診療時間】:午前9時~
【予約のお電話】:初診予約電話 042-461-4896 午前9時~午後5時(平日のみ)
:再診予約電話 042-461-4890 午後2時~午後5時(平日のみ)
原則、予約制です。
初診の方は、なるべく紹介状を持参してください。
予約のある方、紹介状のある方の診察を優先します。
<ストーマ外来> 完全予約制
ストーマ(人工肛門や人工膀胱)を保有している方が、退院後も安心して生活を「送って頂くための相談窓口としてストーマ外来を開設しています。
【診療日】:第2・4木曜日
【診療時間】:午後2時~午後4時
【対象となるストーマ】:コロストミー、イレオストミー、ウロストミー、腎瘻、瘻孔ケア
【担当】:消化器外科医師、皮膚・排泄ケア認定看護師、消化器外科外来看護師
【外来で行うこと】:ストーマ局所ケア、精神的サポート
外来時に現在貼付しているストーマ装具を剥がし、ストーマの状態やストーマ周囲の皮膚状態、装具交換手技
などを観察させて頂きます。
【当日持参して頂くもの】:普段使用しているストーマ装具一式とケア用品をご持参ください。
【予約・お問い合わせ】
当院代表番号(042-461-0052)から消化器外科外来へお問い合わせください。
予約受付時間:午後14時~16時(平日のみ)
【他院より紹介受診される場合】
・当院の近隣施設でストーマ造設された方で、手術した病院にストーマ外来がない場合はお問合せください。
・初診時は、ストーマ造設に関する診療情報提供書(紹介状)をご持参ください。
・ストーマ局所ケアや交換手技が確立した上で、ストーマ外来での介入は終了とさせて頂きます。当院での定期
的なフォローは行っておりませんのでご了承ください。
4 外来担当表
5 医師紹介
| 氏名 | プロフィール |
|---|---|
|
副 院 長(部 長) |
【専門分野】 |
|
担当部長 |
【専門分野】 |
|
担当部長 |
【専門分野】 |
|
副部長(医長) |
【専門分野】 |
|
副部長(医長) |
【専門分野】 |
|
医 長 |
【専門分野】 |
|
医 長 |
【専門分野】 |
|
医 師 |
【専門分野】 |
|
専修医 |
【専門分野】 |
|
専修医 |
【専門分野】 |
|
専攻医 |
【専門分野】 |
|
専攻医 |
【専門分野】 【出身大学・医局等】 |
|
専攻医 |
【専門分野】 |
|
専攻医 |
【専門分野】 |
|
専攻医 |
【専門分野】 |
|
専攻医 |
【専門分野】 【出身大学・医局等】 |
6-1 治療実績(上部消化管)
公立昭和病院は日本胃癌学会の胃癌認定施設Aを取得しました
上部消化管外科
当科では食道癌、胃癌、胃粘膜下腫瘍(GISTなど)などを主に扱っています。さまざまな治療選択肢に関しては消化器内科とも合同カンファランスにて話し合い方針を決定しています。また当院は癌拠点病院であると同時に救急病院でもありますので突然の腹痛の原因となる胃潰瘍穿孔、十二指腸穿孔などの緊急手術も行っております。
昨今、夜間休日に外科医がいない病院も多くなり、別の病院にいかないと診療してもらえないことがありますが当院には常に外科医が常駐しており、術後に体調不良となりましても責任もって治療させていただきますので患者さんにも安心していただけると思います。
また地域のかかりつけ診療所・病院と連携して術後の患者さんをフォローするがん診療連携パスを導入しております。
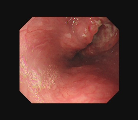
食道癌の治療
食道癌の治療について外科では内科でのESD治療の適応とならない食道癌の治療を行っており、抗癌剤による化学療法、抗癌剤と放射線を使用する化学放射線療法、手術(食道切除)などを施行しています。
食道癌診療ガイドラインに従い、比較的早期の食道癌(Stage I)では手術または化学放射線療法、進行食道癌(Stage II, Stage III)では術前化学療法+手術または化学放射線療法、などの治療の選択を患者さんのご要望、病状、ご家庭の状況などに合わせて決めています。手術は開胸開腹手術で大きな侵襲を伴いますが、無増悪生存期間(再発していない期間)、全生存期間などの成績から第一選択となる治療です。化学放射線療法の根治性は手術療法に及びませんが、妥当な成績ですし食道を温存すことができ選択肢の一つです。ただし、再発した場合は、難易度の高いサルベージ手術が必要なことがあり、東大病院、国立がんセンターと連携して治療しております。
さらに進行し切除困難な局所進行食道癌(Stage IVA)には化学放射線療法、切除不能/再発食道癌(Stage IVB)には化学療法を行いますが、近年化学療法(抗癌剤)の進歩により、高い抗腫瘍効果を有する治療が開発され、完全奏効となる症例も経験しています。
治療前
治療後
高齢や他の病気で体力がない患者さんにおいても放射線療法、緩和的化学療法、ステント治療などの緩和的対症療法を行っています。
咽頭食道境界部の病変に対しても耳鼻科、形成外科と合同で手術を行っています。
患者様で病気の詳細をお知りになりたい方は国立がん研究センターのがん情報サービスが発行している以下のパンフレットをご活用ください。
胃癌の治療
胃癌の治療では機能を温存した手術・傷の小さい低侵襲手術、腹腔鏡手術から開腹手術、さらに進行胃癌に対する抗がん剤を組み合わせた集学的治療まで行っています。胃癌学会の胃癌治療ガイドラインに則った治療を原則としています。ただ高齢化社会に伴いさまざまな基礎疾患をおもちの患者様が増えていますので、それぞれ患者様の状態に応じてオーダーメードで最も適した治療を決定し、きめ細かい管理で安全な手術を提供しております。
2018年4月より保険適応となったロボット支援下胃切除術も行っています。腹腔鏡下手術ですが、人ではなくロボットのアームでカメラや手術器具を持って手術をします。ロボットは操縦席(サージョンコンソール)で専門の訓練を受けた術者がコントローラを動かして手術をします。ロボットアームの多関節機能や手振れ防止機能などにより、通常の腹腔鏡手術よりもさらに緻密で正確な手術を行うことができます。
胃癌の治療において、転移・再発した胃がんの治療は難しいと言われており、再発予防が非常に重要です。当科でも細心の注意を再発予防に注いでいます。そのポイントとしては正確、緻密な手術、出血の少ない手術、腹腔内膿瘍など合併症の予防、術後補助化学療法の継続性などです。またStageIVの厳しい患者, 残念ながら再発してしまった患者さんにおいても、免疫力、栄養を維持できるよう抗がん剤の種類や量を調整し少しでも生活の質がよくなるよう治療しています。その結果、全国平均と比較しても大変良好な生存率を達成しています。当院でのステージ別5年生存率(2013-2020)は以下です。
StageIA 99.1%, StageIB 92.2%, StageIIA 87.7%, StageIIB 79.6%, StageIIIA 77.0 %, StageIIIB 65.7%, StageIIIC 53.0%, StageIV13.3%
胃癌認定施設Aの意義
当院は日本胃癌学会の「胃癌認定施設A」を取得しています。日本胃癌学会の学術誌で認定施設A、認定施設B、非認定施設を比較した研究によると、ロボット手術や腹腔鏡手術などの低侵襲手術の比率は認定施設で有意に多く、胃切除、胃全摘ともに認定施設Aがもっとも手術関連死亡率が低く、認定施設B、非認定施設の順でこれに続くことが報告されました。
患者様で病気の詳細をお知りになりたい方は国立がん研究センターのがん情報サービスが発行している以下のパンフレットをご活用ください。
胃GISTの治療
また胃粘膜下腫瘍においては、消化器内科にて内視鏡下針生検(FNA)などで診断することができますし、切除においては腹腔鏡・内視鏡合同手術(CLEAN-NET,LECS等)を通常診療として行っており、胃壁を最大限温存します。
患者様で病気の詳細をお知りになりたい方は国立がん研究センターのがん情報サービスが発行している以下のパンフレットをご活用ください。
栄養療法を取り入れた癌治療
進行胃癌や、食道癌になると経口摂取が難しくなり、しばしば著明な低栄養をきたします。このため我々は栄養療法ついて常に関心を持って取り組んでおります。経口摂取困難な場合は、中心静脈栄養を行い、摂取不良な場合は栄養士による栄養指導、栄養補助食品のご案内などを積極的に行っています。院内でも耳鼻科の咽頭癌など上部消化管の抗癌剤治療後に食べられなくなった患者さん、神経疾患で誤嚥してしまう患者さんなどで主に内視鏡的胃瘻造設を行い貢献しています。
6-2 治療実績(肝胆膵)
肝胆膵外科のがん治療
患者さんへ
当科は2022年以降、日本肝胆膵外科学会が認定する高度技能専門医修練施設(A)※に指定されており手術症例数、周術期の安全性、教育体制ともに充実した体制を敷いています。
「修練施設」は手術症例の豊富な専門病院ですが都内でも偏在化しているいため、通院が不便な患者さんも多くいらっしゃいます。当院は北多摩北部エリアで唯一の肝胆膵外科専門施設であり、都心の病院までわざわざ足を運ばなくても、住み慣れた地元で安心して高度医療を受けられるように、地域のかかりつけ病院やクリニックの先生方とも緊密な連携を築いております。
※日本肝胆膵外科学会 http://www.jshbps.jp/modules/public/index.php?content_id=1

肝臓、胆道、膵臓のがん(肝胆膵がん)は、医学が飛躍的進歩を遂げた現代においても「難治がん」とされており、外科手術を中心として化学療法(抗がん剤治療)、放射線治療等の複数の治療法を組み合わせた「集学的治療」を行うことでがんに立ち向かいます。
肝胆膵外科手術の特徴として、技術的に高難易度で長時間に及ぶ手術が多く、患者さんにとっての侵襲(手術ストレス)が大きいとされています。近年は腹腔鏡、手術支援ロボットを用いた「低侵襲手術」を積極的に取り入れています。また、手術後の順調な回復のためには集中的な質の高い術後ケアが重要です。看護師、リハビリ、栄養士、歯科医、薬剤師など多職種と連携した術後ケアに力を入れています。

とりあつかう疾患

画:後藤充希先生(杏林大学)
肝臓
肝細胞がん
もともとB型肝炎、C型肝炎等による慢性肝炎や肝硬変を背景にもつ患者さんに多い疾患でしたが、近年は肝炎ウィルス治療が飛躍的に進歩したため、ウィルス性が原因の癌発症は減少傾向にあります。一方で、糖尿病、脂肪肝等に代表される生活習慣病の一部として「メタボ肝」を背景とした肝細胞癌の発症例が多く見られるようになっています。腫瘍の個数、腫瘍径と肝機能のバランスを考慮して治療法を決めます。肝機能が保たれており、3個程度までは肝除を行いますが、腫瘍条件によってはラジオ波焼灼術、カテーテル治療(選択的化学動脈塞栓術)や抗がん剤治療を選択します。当院ではそれそれの患者さんの病態に応じいずれの治療法も選択できます。
肝内胆管がん
肝臓内の胆管から発生するがんであり、肝臓から発生する原発性肝がんとして治療します。肝細胞癌に次いで多く、頻度は原発性肝がんのうち約4%程度といわれています。肝細胞癌と同様に、腫瘍条件に応じて肝切除を行います。
転移性肝がん
他の臓器に発生したがんが、血流に乗って肝臓に転移した腫瘍であり、治療方針は原発巣の種類によります。大腸がん肝転移の患者さんが最も多く、大きな肝腫瘍、多発する腫瘍に対しても抗がん剤治療や門脈塞栓術といった術前処置を駆使して根治切除を目指しています。
※肝切除術の適応について:術前画像3次元シミュレーションと、ICG(インドシアニングリーン)自動測定器を組み合わせた拡大基準を用いて術前評価※を行い、従来の手術適応(幕内基準)では手術適応とならなかった患者さんにも安全かつ積極的な肝切除を行っています。
※Kobayashi Y et al. HPB (Oxford). 2020 Feb;22(2):258-264. ※低侵襲手術への取り組み:肝切除の一部に腹腔鏡手術を導入しております。傷が小さく、術後の痛みが少ないため術後の早期回復に有効とされています。
胆道
肝臓で産生された胆汁(主に脂肪の消化吸収を助ける)が流れる経路が胆道であり、肝内から肝門部胆管および遠位胆管(総胆管)、十二指腸乳頭部の順に通過して十二指腸に至ります。
この間、胆汁は総胆管の途中から分岐した胆嚢管に流入し一時的に胆嚢という袋に蓄えられ、濃縮されます。胆道がんは多くの場合、胆管を狭窄させ黄疸、褐色尿や胆管炎といった症状を起こします。遺残の無い切除のみが完全治癒を望める治療であり、手術が治療の中心となります。がんの発生位置によって周囲を取り囲む臓器が異なるため、がんを根治的に切除するためには隣接する他臓器や周囲のリンパ節を含めて切除してこなければならず、多臓器合併切除を含む比較的大きな手術となります。


胆道癌取扱い規約第6版より
肝門部胆管がん
肝臓の入り口で総胆管が左右に分岐する箇所に発生するがんです。肝門部胆管は肝臓の中央部に埋まっているため、腫瘍を根治的に取り除くためには肝臓の右側2/3程度切除(拡大右肝切除)、あるいは左側1/2程度切除(拡大左肝切除)したうえで胆管、胆嚢を切除する手術が必要になります。がんの進行の程度によっては門脈等の血管再建にも対応して手術を行っています。
遠位胆管がん/十二指腸乳頭部がん
肝門部より下方の胆管(肝外胆管)に発生するがんです。遠位胆管や十二指腸乳頭部は膵頭部の中に埋もれているため、胆管のみを切り出すことは不可能です。根治的切除のためには膵頭部、胆管、胆嚢、十二指腸、胃の一部を切除して再建する膵頭十二指腸切除を実施します。
胆嚢がん
胆汁の貯蔵を行う胆嚢という袋状の臓器に発生するがんです。がんの進行の程度によって術式が大きく変わります。ごく早期の胆嚢がんでは胆嚢摘出術のみで根治を得られる場合もありますが、臨床病期(ステージ)が上がるにつれて、がんが隣接する肝臓や胆管に浸潤するため、肝切除や肝外胆管切除、膵頭十二指腸切除を組み合わせた複雑かつ大きな手術になる場合があります。
膵臓


膵癌取扱い規約第7版より
膵臓がん
膵臓の中で産生された膵液が流れる経路が膵管であり、この膵管に発生するがんです。
膵管を狭窄させるため、上流の(尾部側の)膵管が拡張してきます。膵体部や膵尾部にがんが発生した場合は症状が出にくく、検診等の超音波検査等で膵管拡張を指摘されて診断に至る場合があります。膵頭部にがんが発生した場合、多くの場合胆管に浸潤して狭窄させるため黄疸、褐色尿や胆管炎を発症します。ほかに膵がんの発生によって治療中の糖尿病が悪化することが知られており、糖尿病の増悪によって診断される場合もあります。膵臓がんは、上腸間膜動脈、上腸間膜静脈といった主要血管から腫瘍が離れている場合を「切除可能」、これらの血管に近接している場合を「ボーダーライン」と定義しています(膵癌取り扱い規約第7版より) 。近年、切除可能膵癌、ボーダーライン膵癌に対する術前化学療法の有用性の報告が相次いでおり、当院でも、術前化学療法を数カ月実施してから手術に臨んでいます。また主要血管への浸潤を認めた場合は積極的にこれらの合併切除、再建を実施しています。
膵頭部がんに対しては膵頭十二指腸切除を、膵体部、膵尾部がんに対しては膵体尾部切除、(+脾臓摘出)を実施しています。
膵管内乳頭粘液性腫瘍(IPMN、IPMC)
嚢胞という、内部に粘液が溜まった袋が膵内に形成されます。主膵管そのものが拡張して粘液が貯留するタイプ(主膵管型IPMN)や、膵管の分枝に嚢胞が複数個発生するタイプ(分枝型IPMN)や、これらの並存した混合型IPMNというものもあります。ゆっくり進行する場合がほとんどですが、形態や増大速度によってはがん化リスクが高いグループが存在し、早期の予防的切除が推奨されます。すでに癌化したものがIPMCであり、周囲臓器浸潤や、リンパ節転移、多臓器転移といった膵臓がんと同様のふるまいを示します。
膵神経内分泌腫瘍(NEN)
膵NENはこれまで希少な腫瘍と言われてきましたが、近年の検査技術の発展に伴い診断例が増えています。性質によって機能性(ホルモン産生性)と非機能性に大きく分けられますが、いずれも進行すると他臓器転移をおこすため、早期発見のうえの外科的切除が第一選択の治療法です。近年は薬物治療も進歩していますので、手術と薬物治療を併用した集学的治療を行うことが重要です。
その他の膵腫瘍
膵漿液性嚢胞腫瘍(SCN)、膵粘液性嚢胞腫瘍(MCN)、膵充実性偽乳頭状腫瘍(SPN)といった腫瘍が知られております。頻度は少ないですが当院にて治療実績があります。
※膵切除における低侵襲手術の導入:当科では、膵体尾部の腫瘍に対する膵体尾部切除術にロボット(da Vinci)手術を導入しております。ロボットアームによる繊細な操作、また3Dカメラの拡大視によりこれまで以上に精緻な手術が可能となります。また傷が小さく、術後の痛みが少ないため術後の早期回復に有効とされています。
当科の治療実績
当科において手術を受けた患者さんの疾患別の長期成績を示します。
肝細胞がん(初回切除症例に限る)

| 当院の5年生存率(%) | 全がん協 5年相対生存率 (2008-2010年初発治療例) ※ |
|
|---|---|---|
| Stage1 | 88.6 | 61.6 |
| Stage2 | 77.0 | 36.0 |
| Stage3 | 56.0 | 14.6 |
| stage4A | 0 | 1.7 |
※手術不能例が含まれます
※Stageは原発性肝癌取扱い規約第6版補訂版に準拠
胆道がん
遠位胆管がん

| 当院の5年生存率(%) | 全がん協 5年相対生存率 (2008-2010年初発治療例) |
|
|---|---|---|
| Stage1 | 83.3(staga0含む) | 56.7 |
| Stage2 | 48.8 | 26.1 |
| Stage3 | 0 | 12.8 |
※Stageは胆道癌取扱い規約第7版に準拠
十二指腸乳頭部癌

| 当院の5年生存率(%) | |
|---|---|
| Stage0or1 | 100% |
| Stage2 | 83.3% |
| Stage3 | 0% |
※Stageは胆道癌取扱い規約第7版に準拠
胆嚢癌

| 当院の5年生存率(%) | |
|---|---|
| Stage1 | 100% |
| Stage2 | 83.3% |
| Stage3 | 48.2% |
| stage4 | 0% |
※Stageは胆道癌取扱い規約第7版に準拠
胆道癌(すべての部位の胆管、胆嚢を含む)

| 当院の5年生存率(%) | 全がん協 5年相対生存率 (2008-2010年初発治療例) ※ |
|
|---|---|---|
| Stage1 | 86.1(stage0含む) | 56.7 |
| Stage2 | 61.9 | 26.1 |
| Stage3 | 48.2 | 12.8 |
| Stage4 | 0 | 2.4 |
※Stageは胆道癌取扱い規約第7版に準拠
膵癌

| 当院の5年生存率(%) | 全がん協 5年相対生存率 (2008-2010年初発治療例) ※ |
|
|---|---|---|
| Stage1 | 54.6 | 40.1 |
| Stage2 | 43.3 | 17.2 |
| all | 43.9 | 9.2 |
※手術不能例が含まれます
※Stageは膵臓癌取扱い規約第7版に準拠
我々が闘う疾患は非常に手強い相手ですが、関係するすべての部署のスタッフが密に連携して治療にあたり、患者さんがごく普通に生活しながら病と向き合えるようにサポートをしていきたいと考えています。
学会発表、著作等
2023
2022
2021
6-3 治療実績(下部消化管)
作成中
7 疾患別手術件数
過去5年間の疾患別手術件数の一覧を掲載いたします。(乳腺・内分泌外科の手術を含んでいます。)
・悪性疾患
| 臓器 | 疾患分不意 | 件数 | ||||
|---|---|---|---|---|---|---|
| R2年 | R3年 | R4年 | R5年 | R6年 | ||
| 食道 | 食道癌 | 11 | 11 | 3 | 7 | 5 |
| 胃 | 胃癌 | 77 | 75 | 76 | 61 | 83 |
| 胃GIST | 6 | 7 | 4 | 4 | 7 | |
| 計 | 83 | 82 | 80 | 65 | 90 | |
| 大腸 | 結腸癌 | 111 | 104 | 98 | 110 | 115 |
| 直腸癌 | 40 | 54 | 53 | 68 | 66 | |
| 計 | 151 | 158 |
151 |
178 |
181 |
|
| 肝胆膵 | 肝臓 | 33 | 36 | 28 | 21 | 23 |
| 胆嚢癌 | 5 | 6 | 7 | 5 | 8 | |
| 胆管癌 | 7 | 15 | 11 | 10 | 11 | |
| 膵癌 | 26 | 35 | 28 | 27 | 28 | |
| その他 | 1 | 2 | 2 | 0 | 1 | |
| 計 | 72 | 94 | 76 | 63 | 71 | |
| 副腎 | 副腎腫瘍 | 7 | 15 | 6 | 9 | 9 |
| 小腸 | 小腸腫瘍、その他 | 8 | 3 | 5 | 7 | 9 |
| 総計 | 332 | 363 | 321 | 329 | 365 | |
・T良性疾患
| 臓器 | 疾患 | 件数 | ||||
|---|---|---|---|---|---|---|
| R2年 | R3年 | R4年 | R5年 | R6年 | ||
| 消化管 | 食道裂孔ヘルニア | ー | 1 | 1 | 0 | 0 |
| イレウス | 49 | 50 | 53 | 59 | 52 | |
| 急性虫垂炎 | 96 | 77 | 67 | 90 | 88 | |
| 消化管穿孔、腹膜炎、出血 | 38 | 34 | 37 | 31 | 46 | |
| 大腸憩室など | 7 | 2 | 6 | 7 | 15 | |
| 人工肛門閉鎖 | 24 | 23 | 12 | 28 | 29 | |
| その他 | 5 | 12 | 3 | 2 | 0 | |
| 肝胆膵 | 胆石・胆嚢炎 | 120 | 145 | 115 | 150 | 141 |
| 胆嚢ポリープ | 8 | 7 | 3 | 0 | 4 | |
| 総胆管結石 | 5 | 1 | 1 | 1 | 0 | |
| 肝内結石 | 0 | 0 | 0 | 0 | 0 | |
| 肝嚢胞、肝膿瘍 | 1 | 1 | 2 | 2 | 5 | |
| 肝血管腫 | 0 | 0 | 0 | 2 | 1 | |
| 脾臓良性 | 0 | 0 | 0 | 0 | 2 | |
| 仮性膵嚢胞 | 1 | 0 | 1 | 0 | 0 | |
| 腹膜、腹壁 | 鼠径・大腿ヘルニア | 104 | 111 | 114 | 164 | 145 |
| 腹壁ヘルニア | 12 | 9 | 1 | 14 | 16 | |
| 閉鎖孔ヘルニア・内ヘルニア | 2 | 7 | 2 | 1 | 0 | |
| 外傷、その他 | 6 | 1 | 3 | 8 | 11 | |
| 計 | 478 | 481 | 421 | 559 | 555 | |
年度別鏡視下手術
| R2年 | R3年 | R4年 | R5年 | R6年 | |
|---|---|---|---|---|---|
| 腹腔鏡(補助)下胃切術・胃全摘術・胃局所切除 | 27 | 27 | 29 | 14 | 55 |
| 腹腔鏡(補助)下結腸切術、直腸切除、切断術 | 80 | 108 | 113 | 91 | 141 |
| 腹腔鏡(補助)下肝切除 | 4 | 9 | 4 | 3 | 6 |
| 腹腔鏡下胆嚢摘出術 | 83 | 107 | 101 | 121 | 112 |
| 腹腔鏡下脾臓摘出術 | 1 | 0 | 0 | 0 | 4 |
| 腹腔鏡下膵切除術 | 5 | 2 | 7 | 1 | 7 |
| 腹腔鏡下副腎摘出術 | 7 | 14 | 10 | 9 | 9 |
| 腹腔鏡下虫垂切除術 | 4 | 12 | 10 | 17 | 32 |
| 腹腔鏡下ヘルニア修復術 | 48 | 50 | 50 | 76 | 69 |
| 腹腔鏡下その他(人工肛門造設、審査腹腔鏡) | 5 | 2 | 3 | 15 | 30 |
| 計 | 264 | 331 | 327 | 435 | 465 |
8 学会等認定施設
日本外科学会認定医制度修練施設
日本外科学会専門医制度修練施設
日本消化器外科学会専門医関連施設
一般社団法人 National Clinical Database症例登録施設
日本肝胆膵外科学会高度技能医修練施設(A)
【関連リンク(学会ホームページ)】
※ 下記のリンクをクリックされますと当院ホームページとは別のサイトが開きます。
日本外科学会ホームページ
日本消化器外科学会ホームページ
日本胃癌学会ホームページ
日本食道学会ホームページ

